Bildergalerie Professionelle Zahnreinigung
Ablauf der Professionellen Zahnreinigung (PZR)
Ablauf eines Bleachings
1. Zahnsteinentfernung mittels Ultraschall |
![]() |
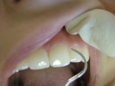
2. Zahnsteinentfernung mittels Scaler |
![]() |
3. Belagsentfernung |
![]() |
4. Reinigung der Zahnzwischenräume
|
![]() |
6. Politur und Fluoridierung |
![]() |
5. Polieren der Zähne |
![]() |
6. Fluoridierung |
![]() |
7. Mundhygieneunterweisung |
![]() |







